नई दिल्ली, 3 अप्रैल । एबीवीआईएमएस और डॉ. आरएमएल अस्पताल के निदेशक डॉ. अशोक कुमार ने कार्डियक सर्जरी टीम की उत्कृष्ट उपलब्धि की सराहना की है। इस टीम का नेतृत्व डॉ. नरेंद्र सिंह झाझरिया (निदेशक प्रोफेसर और एचओडी) कर रहे थे। इस टीम ने एक 31 वर्षीय महिला की जटिल कार्डियक रिपेयर सर्जरी को सफलतापूर्वक अंजाम दिया।'साइटस इन्वर्सस' (अंगों की असामान्य स्थिति) जैसी चुनौतीपूर्ण चिकित्सीय स्थिति के बावजूद, डॉक्टरों ने एक बेहद छोटे और कॉस्मेटिक चीरे के माध्यम से इस सर्जरी को संपन्न कर आधुनिक चिकित्सा तकनीक का बेहतरीन उदाहरण पेश किया।
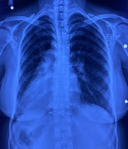
इस मरीज के सभी अंग सामान्य जगह के उलट यानी मिरर इमेज में थे। उसके दिल की जगह दाईं ओर थी, लिवर बाईं ओर, प्लीहा दाईं ओर और पेट भी दाईं ओर था। इसके साथ ही मरीज में जन्मजात आंशिक एट्रियोवेंट्रिकुलर कैनाल दोष जैसी जन्मजात हृदय रोग की समस्या भी थी।
सर्जरी के दौरान चिकित्सा टीम ने अत्यंत सावधानी बरतते हुए मरीज के हृदय दोष का सफल उपचार किया। मात्र 4 सेंटीमीटर के सूक्ष्म 'इन्फ्रामैमरी' चीरे के जरिए यह जटिल प्रक्रिया संपन्न की गई। ऑपरेशन के दौरान हृदय की कार्यप्रणाली को सुचारू रखने के लिए शरीर की बाहरी नसों की सहायता से 'कार्डियोपल्मोनरी बाईपास मशीन' का उपयोग किया गया। हृदय के दोष को ठीक करने के लिए मरीज की अपनी 'पेरिकार्डियम' (हृदय की सुरक्षा झिल्ली) से पैच तैयार किया गया और उसे बेहद बारीक टांकों के जरिए सटीक स्थान पर लगाया गया, ताकि हृदय के वाल्व और कंडक्शन सिस्टम को कोई क्षति न पहुंचे। सर्जरी के बाद मरीज की रिकवरी बहुत ही सहज रही और अब वह अस्पताल से जाने के लिए पूरी तरह फिट है। इकोकार्डियोग्राफी ने भी सफल सर्जरी की पुष्टि की।
इस सर्जरी में कई चुनौतियां थीं। सबसे बड़ी चुनौती यह थी कि जन्मजात हृदय दोष, वाल्व और संवेदनशील कंडक्शन सिस्टम के अत्यंत निकट था। इसके अतिरिक्त, रक्त वाहिकाओं की 'मिरर इमेज' (विपरीत दिशा) स्थिति ने सर्जरी को और भी पेचीदा बना दिया था। महज 4 सेंटीमीटर के छोटे चीरे के माध्यम से उपकरणों को संभालना और सूक्ष्म टांके लगाना तकनीकी रूप से बेहद कठिन कार्य था। मरीज को हृदय–फेफड़ों की मशीन के माध्यम से बायपास करना पड़ा, जिससे टीम की विशेषज्ञता और अनुभव की जरूरत थी।
कार्डियक सर्जरी विभाग में विशेषज्ञ डॉक्टर, जरूरी उपकरण और मॉनिटरिंग मशीनें मौजूद हैं, जिससे ऐसी कठिन सर्जरी सुरक्षित तरीके से की जा सके। डॉ. जसविंदर कौर कोहली और उनकी टीम ने एनेस्थीसिया और मरीज की मॉनिटरिंग को बेहतरीन तरीके से संभाला। परफ्यूशनिस्ट जगदीश चंद्र और उनकी टीम ने बायपास के दौरान रक्त संचार को सुरक्षित रखा।
साइटस इन्वर्सस अपने आप में बहुत ही दुर्लभ है और इसके साथ आंशिक एट्रियोवेंट्रिकुलर कैनाल दोष होना और भी कम होता है। आम तौर पर ऐसी सर्जरी में सीने की हड्डी काटनी पड़ती है, लेकिन इस केस में सिर्फ छोटे कॉस्मेटिक चीरे से सर्जरी की गई, जिससे यह दुनिया की पहली सर्जरी बन गई। मरीज रमबाई और उनके परिवार ने डॉ. नरेन्द्र सिंह झाझड़िया और पूरी टीम का दिल से धन्यवाद किया।
सर्जरी 30 मार्च 2026 को की गई और यह प्रधानमंत्री स्वास्थ्य योजना (पीएमजेएवाई – आयुष्मान भारत) के तहत कवर थी। डॉ. अशोक कुमार ने इसे संस्थान के लिए गर्व का पल बताया और सभी टीम मेंबर्स – सर्जन, एनेस्थेटिस्ट, परफ्यूज़निस्ट, नर्सिंग स्टाफ, तकनीशियन और सपोर्ट स्टाफ को बधाई दी।
एबीवीआईएमएस का कार्डियक सर्जरी विभाग पहले भी चर्चित रहा है। अगस्त 2022 में इसी टीम ने केंद्रीय सरकारी अस्पताल में पहला कार्डियक ट्रांसप्लांट किया था। विभाग नवजात, बच्चों और वयस्कों के सभी प्रकार के हृदय रोगों का इलाज करता है और मरीजों को बेहतरीन कार्डियक केयर उपलब्ध कराता है।

